皮膚科

こんな症状はありませんか?

  • 皮膚にポツポツができた
  • 足先をよくなめる
  • 顔や耳を床にこすりつける
  • かさぶたやフケが出てきた
  • 体の一部が脱毛している

犬の主な皮膚科の病気

アトピー性皮膚炎

  • ・環境内に存在するダニや花粉に対して起こる過剰な免疫反応
  • ・遺伝的な背景
  • ・皮膚のバリア機能の低下

これらが原因として考えられています。犬にもっとも多い皮膚疾患のひとつです。
繰り返す体のかゆみや皮膚の赤み、湿疹などの特徴的な症状を示し、比較的若いころから症状がみられることが多い疾患です。
症状は足先やお腹、わきの下、顔などに表れやすく、脱毛や皮膚の炎症(赤み)が特徴です。
アトピー性皮膚炎は完治が難しい疾患とされています。治療には、薬による痒みのコントロールやシャンプーなどの皮膚のケアを含めた様々な手段があります。
当院では、その子の症状に合わせた治療方法をご家族と相談の上、なるべく負担の少ない方法で治療が進められるよう心がけています。

感染症

膿皮症

主に、皮膚の常在菌であるブドウ球菌が皮膚に感染することで発症します。
常在菌は通常、感染は起こしませんが、何らかの要因で皮膚のバリア機能や免疫力が低下することで感染をおこすことがあります。背景に、上述したアトピー性皮膚炎を含む場合もあります。
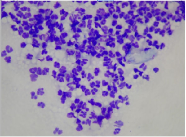
皮膚スタンプ検査では、好中球が多量に検出される特徴的な所見が見られることがあります。
外用薬やシャンプー療法が中心ですが、必要に応じて抗生剤の内服もおこなうことがあります。

皮膚スタンプ検査

マラセチア性皮膚炎

マラセチアも皮膚の常在菌ですが、過剰繁殖により症状を引き起こす真菌(カビ)の一種です。
これもアトピー性皮膚炎が背景となる場合もあり、より症状を悪化させることがあります。
抗真菌薬を用いた治療法もありますが、背景となる脂漏症(皮脂の過剰な分泌)やアトピー性皮膚炎の治療も並行しておこなうことも多い疾患です。

皮膚糸状菌症

皮膚糸状菌も、マラセチアと同じように真菌(カビ)の一種です。
皮膚が柔らかい目の周りや口、耳回りに発症しやすく、脱毛やフケを特徴とします。
ウッド灯という特殊なライトを当てることで、菌体が存在する部分の被毛が光り診断ができる場合もあります。

ウッド灯

ノミ刺咬性皮膚炎・ノミアレルギー性皮膚炎

犬に寄生したノミが吸血する際に、体内に唾液が混入することにより発症する皮膚炎です。症状は、腰付近の背中、腹部、四肢に特に出やすいです。
少数でも寄生があると痒みを引き起こすため、徹底的な駆虫が必要です。室内にノミの卵が存在する場合は、市販の殺虫剤での対処が必要な場合があります。予防薬にはフィラリアと一緒に予防できる飲み薬タイプのものや、マダニと一緒に予防できるスポットタイプのものなど、さまざまな種類があります。

ニキビダニ症

駆虫薬が普及している現在では遭遇することの減ってきた疾患ですが、まれに罹患することがあります。
一般的に、四肢の先端や頭部、耳に脱毛や湿疹を呈することが多く、左右対称で症状が表れやすいことも特徴です。駆虫薬を定期的なサイクルで使用することにより、駆除していきます。

疥癬症

疥癬は、ヒゼンダニを原因として起こる非常に感染力の強い外部寄生虫です。
耳の縁や肘、顔に症状が出やすく、人や同居動物への感染も注意が必要な疾患です。
一般的に、皮膚をこすることでダニを検出しますが、その検出率は低く、20~50%とされています。疥癬が強く疑われる場合、疥癬に対する治療をおこない反応があれば疥癬と診断、反応がなければ疥癬を除外するという方法(診断的治療)をおこなうこともあります。

外耳炎

外耳(耳の入り口から鼓膜まで)に起きる炎症で、来院理由のなかでも非常に多くを占めています。
原因は多岐にわたり、背景にある基礎疾患が原因となり二次的に引き起こすことも多い症状です。
耳を地面などにこすりつける、頭を振る、悪臭のする耳だれが出る、頭が傾く…このような症状があれば、外耳炎を発症している可能性があります。
当院では定期的な耳洗浄をおこない、背景にある疾患の治療と並行しつつ、かゆみや痛み、腫れが重度の場合は一時的に内服薬を使用することにより症状をコントロールしていきます。

猫の主な皮膚科の病気

アトピー性皮膚炎

花粉やハウスダスト、ノミなどのアレルゲンが原因となって引き起こすことのある症状です。季節性のあるアレルゲンが原因の場合は、季節によって痒みの強弱があります。
痒みが起きやすいのは頭から首にかけて、とくに耳周囲、下腹部やおしりから尾にかけて脱毛や炎症が起こりやすいといわれています。猫にとって、痒みは耐え難い苦痛となることが多く、生活の質(QOL)の低下につながります。
治療には、まずストレスの少ない環境づくり、場合によってはステロイドや抗ヒスタミン薬の内服によりかゆみや炎症を取り除きます。

脱毛症

猫で多い脱毛のパターンは、左右対称に毛が薄くなるものです。
特に、内股から胸部にかけてやわき腹などが左右ともに脱毛しやすい部位です。
原因としては、以下に記載する寄生虫感染によるもの、先述したアレルギーによるもの、ホルモン性の疾患の場合もあります。
また、猫に多いのは心因性脱毛といわれています。猫は環境の変化に非常に敏感なため、生活環境のわずかな変化でストレスを感じてしまいます。ストレスにより過剰なグルーミングが引き起こされ、脱毛や皮膚の炎症につながる場合があります。
心因性の脱毛が疑われる場合、猫にとってストレスと思われる状況をなるべく取り除き、過剰なストレスがかかる環境を減らしていく必要があります。
場合によっては気持ちを落ち着かせる薬の使用や、フェロモン製品のご提案をさせていただきます。

寄生虫感染

ノミ刺咬性皮膚炎・ノミアレルギー性皮膚炎

猫の体にノミが付着し、ノミの唾液などに含まれるたんぱく質を抗原として認識することにより発症する皮膚炎です。近年は完全室内生活の猫が増えてきましたが、今でもみられることのある疾患です。
特徴的な症状として、腰背部の広い範囲にできる皮膚病変「粟粒性(ぞくりゅうせい)皮膚炎」があります。強い痒みを伴い、脱毛がみられることもあります。
治療はノミの駆除が中心となりますが、ノミのライフサイクルを考慮して数か月単位でおこなう場合も多いです。

ミミヒゼンダニ感染症

耳ダニの感染による症状で、非常に強い痒みをともないます。また、黒っぽい耳垢が耳に付着していることに気づいて来院される方も多いです。
これらの症状がみられた場合、耳垢を顕微鏡で観察するとダニが見つかることがあります。
治療には、駆虫薬や定期的な耳洗浄が必要となる場合があります。

皮膚糸状菌症

犬と同じように、ウッド灯とよばれる特殊な光を被毛に当てる検査、被毛を直接顕微鏡で観察する検査や毛の培養を行い診断していきます。治療が必要な場合、抗真菌薬を1か月ほど服用する必要があります。

ほさか動物病院
皮膚科診療の3つの特徴

症状に合わせた適切な検査

皮膚疾患は症状が非常に多岐にわたります。症状から考えられる疾患を想定し、その疾患の診断に必要な検査をご提案いたします。

動物にやさしい治療方法の提案

アトピー性皮膚炎をはじめとする皮膚疾患は、生涯にわたり投薬や通院が必要となる場合があります。薬による副作用や飲みやすさに考慮し、必要最低限の投薬、方法で治療が進められるようご相談させていただきます。

ご家族の希望に合わせた治療方法の相談

上述したように、皮膚疾患の治療は長期にわたる場合が多く、ご家族のみなさまの同意とご協力が必要となります。ご家族のみなさまの考え方、費用など、なるべくご希望に合わせた治療方法を提案できるよう努めております。

診療の流れ

1

受付・問診

スタッフより簡単な問診をさせていただきます。かゆみの強さや気になる部位を一緒に確認していきます。

2

身体検査

問診をもとにして、実際にどのような症状があるのかを一緒にみていきます。皮膚以外にも症状がないかも同時にチェックしていきます。

3

検査

症状に応じて必要な検査をご提案いたします。検査によって必要な時間や費用が異なりますので、相談の上実施する検査を決定していきます。

4

検査結果の説明・治療方針のご相談

検査の結果考えられる疾患の説明をおこない、治療の相談に進みます。皮膚疾患は定期的な観察が必要な場合が多いため、ご家族の希望に沿った治療プランを相談させていただきます。

診療料金

治療費用

膿皮症

薬用シャンプー 1,000円前後
院内での薬浴 3,500円〜
外用薬(消毒) 1,000円前後
内服薬~14日 5,000円前後

アトピー性皮膚炎

内服薬 5,000円〜15,000円/月

※皮膚疾患は治療方法が多岐に渡るため、その子に応じた方法をご提案いたします。上記の費用は一例です。

検査費用

皮膚・耳の検査 各検査~2000円(抜毛検査、皮膚掻把検査、スタンプ検査、ウッド灯検査など)

皮膚科関連のお知らせ

  • 【動物病院監修】犬のフケ~かゆみ・皮膚の乾燥・ベタつきのサインを見逃さない~

    【動物病院監修】犬のフケ~かゆみ・皮膚の乾燥・ベタつきのサインを見逃さない~ ________________________________________ はじめに 相模原市・町田...

    [read more]
  • 【動物病院監修】犬の外耳炎~かゆみ・におい・耳を振る仕草に要注意~

    【動物病院監修】犬の外耳炎~かゆみ・におい・耳を振る仕草に要注意~ ________________________________________ はじめに 相模原市・町田市・八王子...

    [read more]
  • 【動物病院監修】犬の膿皮症~かゆみ・赤み・フケに注意!皮膚トラブルの原因と治療法~

    【動物病院監修】犬の膿皮症~かゆみ・赤み・フケに注意!皮膚トラブルの原因と治療法~ ________________________________________ はじめに 相模原市...

    [read more]