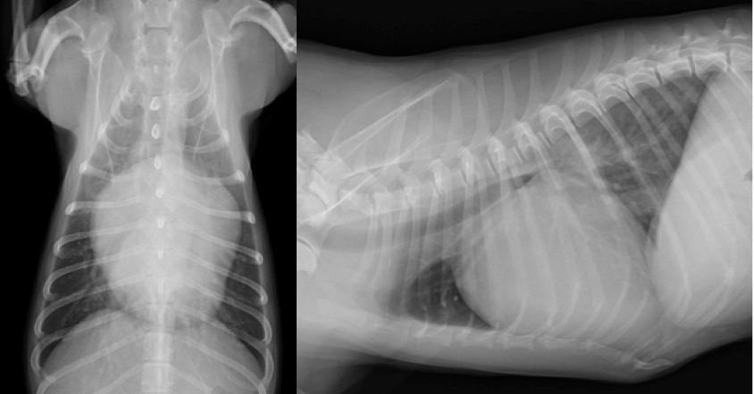
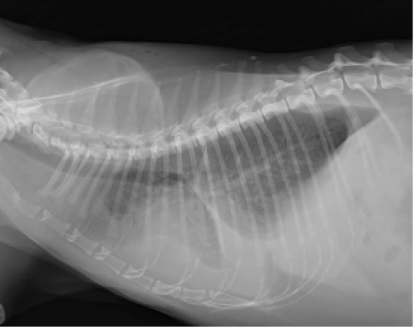
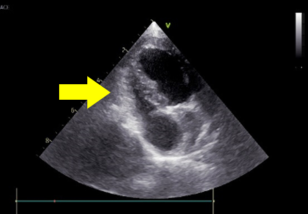
僧帽弁閉鎖不全症
心臓は4つの部屋に分かれており、血液が一定方向に循環しています。部屋と部屋の間には弁があり逆流を防いでいます。僧帽弁閉鎖不全症は左心房と左心室の間の僧帽弁の機能低下により、血液の逆流を生じ様々な症状が生じる病気です。
主に中高齢で発症します。症状は初期には無症状で心臓の聴診で雑音があるのみですが、進行すると元気の低下、咳、呼吸困難が生じます。
診断は身体検査、超音波検査、レントゲン検査、血圧測定、心電図、血液検査などにより総合的に行います。治療は心臓の負荷を軽減する薬による治療が一般的です。一部施設では手術による治療も行われています。(手術をご希望の方は施設をご紹介いたします)
