骨折
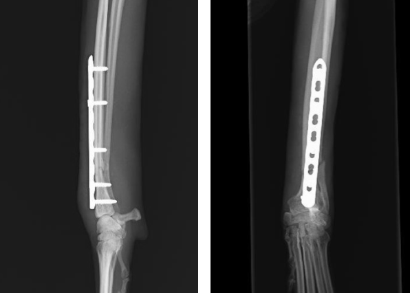
原因の多くは外傷(落下、踏み付け、交通事故)や骨腫瘍などがあります。特に近年多いのはトイ犬種のように足が細く長い犬種の落下事故による前足の骨折で、ソファや膝の高さの飛び降りでも起こります。激しい痛みで鳴く、手足を浮かせて歩く、じっとして動かないなどの症状が見られます。放置すると手足の変形や感染症などのリスクを伴います。治療には外科(金属のピン、プレート設置など)やギブス固定などがあります。

診療科目
お気軽にご連絡ください
042-771-1112原因の多くは外傷(落下、踏み付け、交通事故)や骨腫瘍などがあります。特に近年多いのはトイ犬種のように足が細く長い犬種の落下事故による前足の骨折で、ソファや膝の高さの飛び降りでも起こります。激しい痛みで鳴く、手足を浮かせて歩く、じっとして動かないなどの症状が見られます。放置すると手足の変形や感染症などのリスクを伴います。治療には外科(金属のピン、プレート設置など)やギブス固定などがあります。
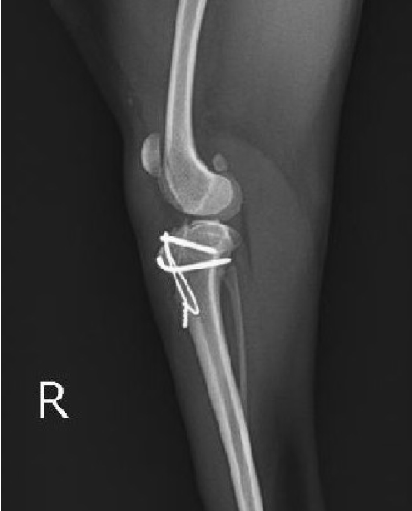
膝蓋骨は膝のお皿、パテラなどともよばれる膝の骨で、足の骨(大腿骨)の溝を上下に動くことで足は屈伸することができます。この膝蓋骨が溝から外れてしまう状態を膝蓋骨脱臼といい、外れ方により内方脱臼、外方脱臼と分類されます。小型犬の成長期での発症が多いですが全犬種で見られます。症状は、無症状、軽度の跛行、顕著な痛み、重度では脚の変形など様々です。靱帯損傷の合併症を起こすと急性の症状悪化が起こります。
治療は外科(複数の手術方法を組み合わせる方法)や内科療法など程度によって様々です。
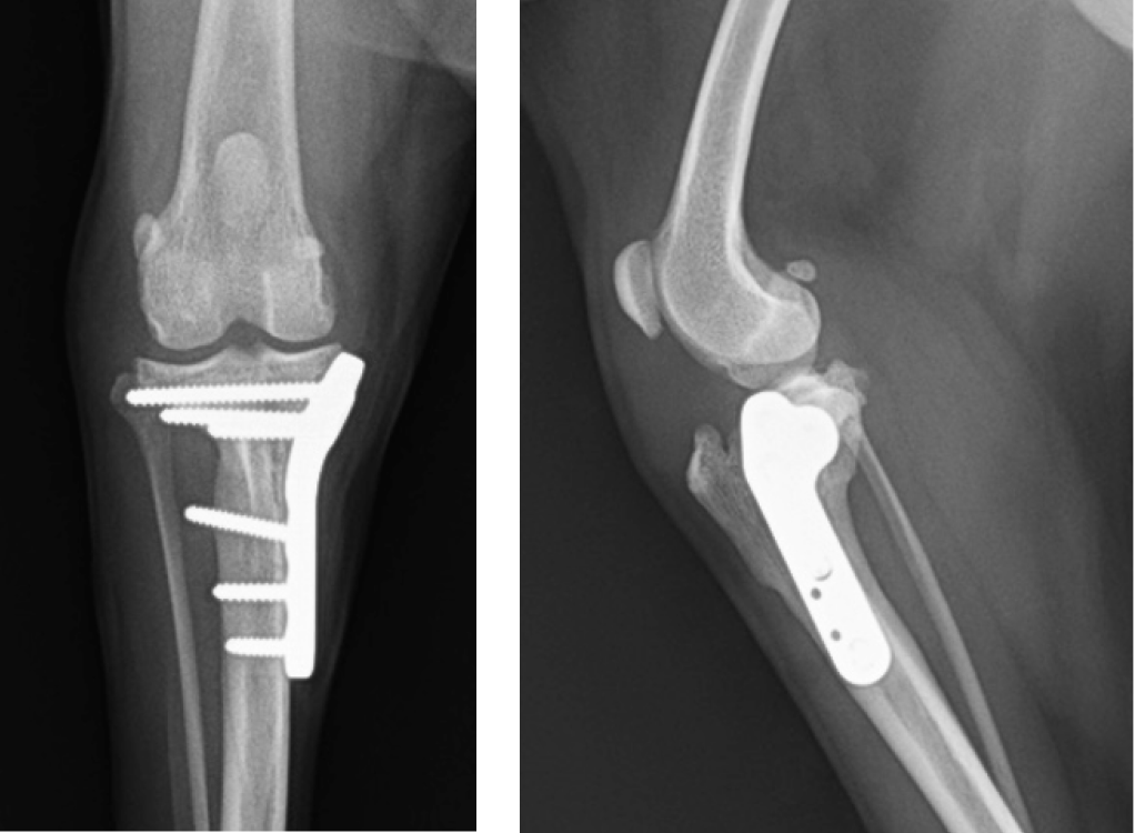
前十字靭帯は大腿骨と脛骨を結ぶ靱帯で、膝の安定性に関連します。この靱帯が損傷することで膝が不安定となり、患肢に体重をかけることができなくなります。原因として前十字靭帯の変性、加齢、外傷によるものがあります。症状は急性で顕著な跛行、痛み、おすわりの時にあしを投げ出すなどです。関節炎の進行や、半月板損傷の合併症が起こります。
治療は、保存療法としての内科治療と人工靭帯を使う関節外法、脛骨を切り大腿骨に対する角度を調整するTPLOなどの外科治療があります。
成長期の子犬に発生しやすい病気です。大腿骨頭への血流減少により壊死を起こします。小型犬に多く、そのほとんどは片側性で、強い痛みを伴います。そのため患肢を使わなくなり筋肉が萎縮してしまいます。
正常な股関節は、大腿骨頭(球)が骨盤の寛骨臼(受け皿)のくぼみにはまり(球と受け皿の関係)、なめらかに動く構造をしています。しかし大腿骨頭と寛骨臼の発育が悪いことで歪みが生じます。症状は成長期では関節の緩みが原因で周囲の組織に炎症が発生、成犬時には関節の構造異常に起因した関節炎によるものです。症状は腰を振りながらの歩行や、両後肢で同時に足を蹴る兎跳び様歩行、段差や長距離歩行を嫌がるなどです。大型犬、超大型犬での発症が多く、一般的に両側性です。
大腿骨頭が寛骨臼の受け皿から外れてしまっている状態で、落下など股関節への強い外力、股関節形成不全がある場合に発生しやすい傾向がありますが、元々股関節が緩い子は抱っこしただけでも外れることがあります。外れた時に強い痛みが生じギャンと鳴いたり、触られるのを嫌がったりします。歩くのを嫌がったり、患肢で体重を支えられないので跛行が見られます。癖になり何度も繰り返すわんちゃんもいます。
治療は非観血的な整復や外科手術、保存療法を行います。
関節軟骨の変性と破壊を生じる、猫ちゃんで最も多い運動器疾患です。加齢とともに発生率は増加し、12歳以上の猫では70%が発生しているとの報告もあります。肘、手首、膝関節、腰などで多く発生する傾向があります。症状はジャンプしない、飛び降り時に躊躇する、爪が伸びている、寝てばかりいる等です。
症状が目立たちにくく、高齢だからと見過ごされることも多い病気です。
原因の多くは交通事故、落下、人に踏まれるなどです。骨盤や四肢の骨折が多くを占め、皮膚の裂傷がある開放骨折では感染のリスクが高く、迅速な治療を要します。
また、骨盤骨折を放置すると変形したまま癒合してしまい、歩行障害や排便障害、排尿障害などの後遺症が残ります。
わんちゃんよりも発生頻度は少ないとされていますが、原因は外傷や遺伝が関与すると考えられています。症状は歩行異常、ジャンプができないなどです。ねこちゃんではわんちゃんと違い膝蓋骨がもともとゆるい子も多く、症状と合わせて診断することが重要です。
歩き方がおかしいという症状でも骨や筋肉の整形疾患からくるものと脳神経疾患からくるものがあります。歩様所見、触診など整形外科検査を行い、両者の鑑別と原因位置の特定、異常の種類を検出します。
担当医は、長年大学病院の獣医整形外科専科研修に参加しています。その経験を生かし、当院では前十字靭帯損傷のTPLO、膝蓋骨脱臼整復術、大腿骨頭整復処置、大腿骨頭切除術、骨折など様々な疾患に対応しています。
もちろん、担当獣医師以外も外科手術を行なう事はできます。
痛みや炎症を緩和するレーザー治療や針治療を導入しています。
また手術後は専任のリハビリ担当がつきます。病気により衰えた筋肉や関節可動域の減少の速やかな回復に向け、獣医師と連携し、治療計画をご提案致します。
受付後にスタッフが問診致します。どのような症状がいつからあるか、お伺いします。自宅での歩き方の動画はとても参考になるためお持ちの方はスタッフにお申し付けください。
立ち方や歩き方、かばっている脚の状態などを確認します。他の異常がないか全体的にチェックし、必要な検査を提案致します。
整形外科検査で患部の特定を行い、レントゲン検査で骨や関節の状態を確認します。
撮影した画像をお見せしながらご説明いたします。検査結果に応じて内科治療、外科治療のご提案をいたします。場合によってはCT、MRI検査を要することもありますので、その場合連携している検査センターをご紹介いたします。
次回予約をお取りし、お会計、お薬のお渡しを致します。
整形外科検査 | 2,000円〜 |
---|---|
血液検査 | 10,000円〜 |
レントゲン | 8,000円〜 |
超音波検査 | 5,000円〜 |
一時的な跛行や関節炎(軽度) | レーザー 1,500円〜+消炎鎮痛剤注射1,620円〜+お薬1週間分2,000円〜 |
---|---|
骨折、股関節脱臼、交通事故(重度) | 状態により入院をご提案する場合は概算をお伝えいたします。 |
日本獣医循環器学会
日本獣医麻酔外科学会
「心電図検査とホルター心電図検査」出版社 インターズー 雑誌Circulation No.20
「肺水腫の定理」出版社 ファームプレス 雑誌MVM 2024年9月号
日本獣医画像診断学会
2022年7月 「環軸椎固定術・尾側頚椎固定術」習得実習参加
・日本獣医麻酔外科学会
【動物病院監修】犬の膝蓋骨脱臼 ~内方脱臼・外方脱臼の原因と治療法~
【動物病院監修】犬の膝蓋骨脱臼 ~内方脱臼・外方脱臼の原因と治療法~ はじめに 相模原市・町田市・八王子市の皆様、こんにちは。 相模原市緑区にあ...
[read more]